Is squirting urine? This is one of the most common questions about female sexuality. The short answer is: it depends on which fluid you mean.
There are two distinct events that often get confused under the same name. One involves a large release of fluid that comes from the bladder. The other is a small, milky fluid from the female prostate.
Knowing the difference changes everything — including how we think about this topic in yoni massage.
Two Different Fluids, Two Different Names
Most people use the word squirting to describe any fluid released during arousal or orgasm. But science draws a clear line between two separate events.
Squirting refers to a large volume of fluid — anywhere from 15 to over 150 ml — released during intense arousal. Female ejaculation refers to a small amount of milky fluid from the female prostate — just a few milliliters.
These two fluids come from different sources and have different chemical profiles. Treating them as the same thing leads to confusion and shame. Getting this distinction right is the first step toward understanding what the body actually does.
The 2014 Study That Changed the Conversation
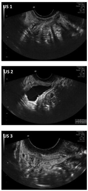
In 2014, a French research team led by Dr. Samuel Salama published the first study to combine two methods at once: pelvic ultrasound and lab analysis of fluids.
Seven women who regularly experienced massive fluid release during arousal took part. Each woman emptied her bladder fully before the session. An ultrasound confirmed the bladder was empty. She then had sexual contact until squirting occurred. Her bladder was scanned again just before and just after the release.
Fluid samples were collected and sent to a lab. Results were clear and the same across all seven women.
What the Ultrasound Showed
Before any arousal, every woman’s bladder was completely empty — confirmed by scan. During arousal, the bladder had filled up significantly. Right after squirting, it was empty again.
This sequence repeated in all seven women without exception. Even after each woman had just urinated, the bladder refilled during arousal and emptied again with squirting.
The source of the fluid was plain: the bladder. No other organ could account for that volume.

academia.edu
Article "Nature and Origin of "Squirting" in Female Sexuality"
What the Lab Results Showed
Lab tests of the squirting fluid found levels of urea, creatinine, and uric acid that were close to those found in regular urine. This pointed clearly to the kidneys as the source of the fluid.
However, the picture was not entirely simple. PSA — a marker linked to fluid from the female prostate — was found in the squirting fluid of five out of seven women, but had not been present in their urine before arousal.
This means the female prostate added a small but real amount to the fluid. Both fluids were present, but in very different amounts.
So Is Squirting Just Urine?
Technically, the large fluid release known as squirting is mostly urine. But this is not the same as ordinary urination — the mechanism, the context, and the experience are entirely different.
Rather than following a normal urine cycle, the bladder fills fast during arousal through a reflex that has nothing to do with normal urine output. Release happens during peak arousal or orgasm, not through voluntary muscle action.
In most cases, a small amount of prostatic fluid is mixed in. Saying it is urine is accurate in a lab sense, but calling it shameful or a medical issue is not.
Why the Body Fills the Bladder During Arousal
One of the most striking findings in the study was how quickly the bladder refilled after being fully emptied. Kidneys produce urine fast, and the bladder fills as part of the body’s arousal response.
Rather than a sign of illness, this seems to be a normal reflex of the pelvic nervous system during intense sexual arousal.
A weak bladder or a medical problem would not look like this. Science describes it as a physical event tied to deep arousal, one that some women experience and others do not, for reasons not yet fully explained.
What This Means for Shame and Body Acceptance
For many women, learning that squirting involves urine triggers shame or embarrassment. Such a reaction is understandable, but it is not needed. The body is doing something normal, reflexive, and tied to deep arousal.
Research cited in the Salama study found that around four out of five women who experienced this kind of fluid release described it as an enrichment of their sexual life.
In the context of yoni massage, this matters greatly. Shame about bodily fluids creates tension, which closes the body. Knowledge and acceptance open it.
The Role of Trust and Relaxation
The Salama study notes that squirting typically results from two things working together: direct touch of the anterior vaginal wall around the G-spot, and a state of deep trust and physical relaxation. Neither element alone is usually enough.
This is exactly why the approach used in yoni massage matters. A woman who does not feel safe will not release any fluid, regardless of how precise the touch is. One who feels held, unhurried, and fully accepted has the inner conditions that allow the body’s natural reflexes to unfold on their own.
Practitioners who want to understand the full picture of squirt should know why patience matters more than technique. It is worth noting that the study involved only seven participants — a small sample — and the researchers acknowledged that many questions about individual variation remain open.
Two Techniques, Two Fluids
Squirting and female ejaculation are not just different in theory — they respond to different kinds of touch and require different approaches from the practitioner. G-spot work and touch of the anterior vaginal wall tends to produce the large fluid release.
Precise, sustained work on the female prostate produces true ejaculate. Why some women squirt easily while others never do is still not fully understood by science — the body holds more complexity than any single study can capture.
Each fluid has its own pathway, its own conditions, and its own meaning for the woman. Both techniques — and the full understanding behind them — are shown step by step in our online yoni massage course.


